
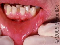
To start off, people often confuse canker sores and cold sores and they are both exquisitely painful. Cold sores are also known as fever blisters. They are caused by the herpes virus (HSV) and are usually on the outside of the lips. On the other hand, no one really knows what causes canker sores. The medical term for canker sore is aphthous ulcer. They appear as little white or gray circular ulcers inside the mouth that last for 1 to 2 weeks. Canker sores can really disrupt your life—you can’t enjoy eating and sometimes they are so painful it is even difficult to talk comfortably.
Stress and trauma can induce both canker sores and cold sores. Cold sores usually appear in the same spot every time you get them because the virus lives inside a nerve and comes out when your body is under stress. There are medications (acyclovir and valacyclovir) that can be used as creams or pills to treat or prevent cold sores. But what about canker sores?
Canker sores usually happen after you injure the inside of your mouth — like after you scrape your gums, cheeks, or tongue with a tortilla chip or a toothbrush, or if you bite your lip accidentally, or if you have braces and get hit in the face with a soccer ball. They develop several days after the injury and grow over the first week and then slowly start resolving after 1 or 2 more weeks. There are some medications and medical conditions that can lead to multiple canker sores all the time (a condition called aphthous stomatitis).
About 30% of people regularly get canker sores. Until recently, the only treatments I had heard of were really just “Band-Aids” that didn’t really do that much. There are over the counter medications like Orabase and prescription topical medications such as anesthetic gels that provide temporary relief from the pain. And then there are prescription strength topical steroids that are thought to speed healing. In general, none of the patients, dermatologists, dentists, or friends I know have been impressed.
However, I recently heard about an amazing “cure” for canker sores from a friend who is a dentist. It is called Debacterol. What is amazing is that Debacterol has been around for almost 100 years! Unfortunately, in the U.S. you can only get Debacterol with a prescription. Well, why hadn’t I heard about this in medical school or in my dermatology residency? I was skeptical. But, since I suffer from canker sores myself, I decided to give it a try. I did some research and found that Debacterol is made from a distillation of natural beechwood creosote that dehydrates infected tissue and bacteria, speeding the healing process. I am not paid by the company, but I can safely say, it is almost “a miracle” and the best kept secret in medicine or dentistry for one of the most common problems around. I decided to recommend it to many of my friends and each of them report the same amazing success – instant pain relief and speedy healing over a day or two and the pain doesn’t come back! It is so hard to believe unless you try it.
The way to use Debacterol is you apply the liquid to the sore in your mouth using a cotton swab. It immediately stings but after a few seconds, the stinging goes away. And what’s even better is that the pain from your canker sore immediately feels better. You’ll be able to enjoy eating again and have your life back.
You’ll find that most doctors, dentists, and pharmacists have never heard of it. But I found a website that will ship it to you if your doctor faxes in a prescription in for you. Print out a blank prescription for your doctor from the website at: www.FocusedRx.com and have them fax it in. It will be shipped directly to your house! Or, if you don’t have a doctor, there is an affordable way you can get a prescription online through a company called Direct Dermatology (www.directdermatology.com online board certified dermatologists).
Last modified on March 2nd, 2020 at 6:46 pm